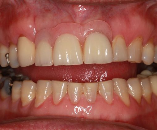
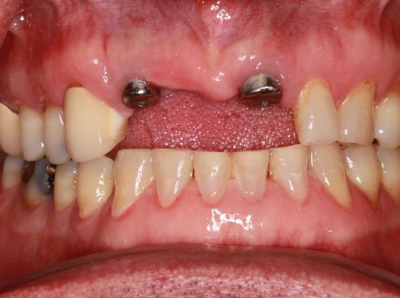
Dental Implants: Case 8
Description
This patient presented after years of wearing a removable partial denture. The patient lost his front teeth from a traumatic event and now wanted a more permanent restoration. Two dental implants were placed and an implant bridge was made in the area. It was decided that two implants would be better than three and would give a more aesthetic result. The patient was very pleased with the final outcome and even more pleased to not have the extra expense of another dental implant.





