
Cosmetic Dentistry

The Amazing Possibilities of Cosmetic Dentistry
Whiter Teeth
Because of its simplicity and affordability, teeth whitening is one of the most frequently requested dental procedures at our practice. Besides in-office whitening with gels or light therapy, patients also have the option of achieving a whiter smile through porcelain veneers.
Straighter Teeth
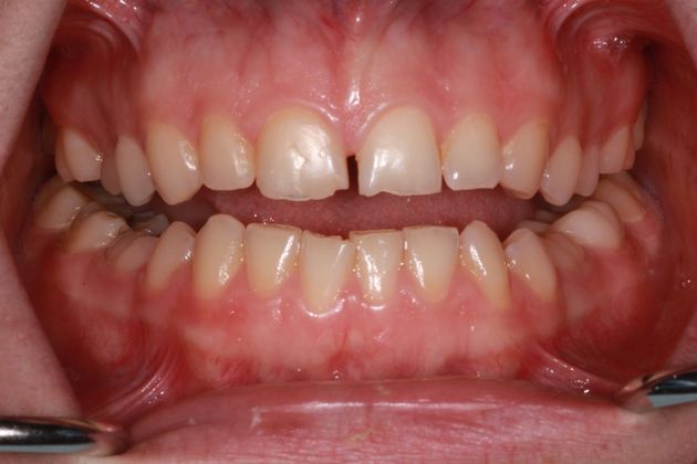
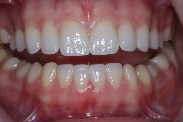
Misaligned teeth can not only make you feel self-conscious about your smile, but they can also make it more difficult to clean and care for your teeth. Dental veneers can conceal minor gaps and slightly crooked teeth, while orthodontic treatment can shift the teeth into proper alignment.
Stronger Teeth
Our Aiken dentists offer beautiful same-day dental crowns that can actually strengthen the teeth in addition to improving their appearance. If it hurts to eat with a damaged tooth, a crown can improve the tooth's appearance and restore your oral health.
Boosted Confidence
The way your smile looks has a significant effect on how you feel about yourself. By addressing your insecurities, cosmetic dentistry can help you stop worrying about how your teeth look when you laugh or speak.
Achieve a Smile You Love Schedule a Cosmetic Consultation Today
Center for Dentistry is conveniently located in Aiken, SC, making it accessible for clients throughout Aiken County and Augusta. Our highly trained dentist, Dr. Leah B. Wilkins, changes lives daily through cosmetic treatments like teeth whitening, porcelain veneers, and orthodontics.
We know you have many providers to choose from, but we offer:
- Conservative and customized cosmetic dentistry
- Respect and kindness to every person who walks through our doors
- Beautiful results that you will be proud to show off
Ready to transform your smile? Schedule a consultation with our cosmetic dentists by filling out our online form or calling:
(803) 648-9461

"I've Gotten My Smile Back" Center for Dentistry Has over 700 5-Star Reviews
I recently moved to the area and was nervous to find a new dentist, however Dr. Leah and everyone else I’ve met has been incredibly kind and caring, and they did a great job fixing my tooth!
View on Google
Dr Wilkins and her staff are absolutely amazing. I must admit that I was a bit anxious about going to a dentist, espeicially since I had not been since 1992 (except for a simple extraction). They made me feel at ease and took care of this veteran very well. No pain and took care of everything i needed done (1 filling and a spur shaved down). Thank you for a wonderful experience.
View on GoogleCommitted to Your Comfort & Oral Health Our Conservative Treatment Philosophy
Patients throughout Aiken County and North Augusta, GA, choose our dental office due to our conservative yet effective approach to cosmetic dentistry. Some cosmetic treatments, such as porcelain veneers or dental crowns, require the removal of natural enamel. Our dentists utilize the newest and strongest materials to minimize the amount of tooth that needs to be removed during the process. This ensures your natural tooth is preserved as much as possible and protects your tooth's structural integrity.
We'd like to think we are adding to the tooth rather than taking away from it.
We also provide traditional and invisible braces to aid in our cosmetic cases. If you suffer from misalignment, we would rather move the teeth than remove tooth structure to improve their appearance.
Our Cosmetic Procedures Choose a Treatment Tailored to Your Needs
Porcelain Veneers
Veneers are thin shells that a dentist can attach to the surface of the teeth to obscure imperfections such as stains, cracks, or minor misalignment. Many patients from Aiken and other parts of South Carolina choose veneers for rapidly whitening their smiles and achieving a dazzling appearance.
Dental Bonding
Dental bonding involves applying a tooth-colored resin to teeth and then hardening the resin with a special light. Our South Carolina dentists use dental bonding to correct chipped teeth, misshapen teeth, and more. Bonding can be performed in just one visit, making it a convenient option for last-minute events.
Tooth-Colored Fillings
Our cosmetic dentists fill cavities with strong, mercury-free materials that perfectly blend in with the color of your natural teeth. We can replace your old, unsightly amalgam fillings so that your smile has an even, natural appearance.
Dental Crowns
While dental crowns are primarily used to protect a tooth from further damage, they can also enhance the appearance of your smile. Crowns are made of durable and natural-looking dental materials such as porcelain, so they seamlessly match surrounding teeth. Crowns can also be attached to dental implants to replace missing teeth.
Metal Braces
We help our patients bring misaligned teeth into proper position with straight wire braces. Bringing your teeth into proper alignment not only improves their appearance but can also strengthen your bite and relieve jaw pain.
ClearCorrect
For those who want to discreetly correct mild to moderate cases of misalignment, ClearCorrect™ is an excellent option. ClearCorrect uses clear, plastic aligners to gently shift your teeth into place. The aligners are virtually invisible and removable, making them a desirable option for many patients.
Smile Makeover
Are you concerned about multiple cosmetic issues? A smile makeover combines various procedures to dramatically transform your smile. Treatment is fully customizable based on your needs and budget and can include treatments such as veneers, teeth whitening, or orthodontic treatment.
"These Are Great People You Can Trust With Your Smile" More 5-Star Reviews
New to the area, started with my 15 yr old and now the whole family goes! They are Excellent! Highly recommend! Super staff highly attentive and very skilled.
View on Google
Best dental experience I’ve ever had! Very detailed, organized, and great communication.
View on GoogleWhat Is the Cost of Cosmetic Dentistry?
The cost of cosmetic dentistry depends on the scope of your treatment. For example, teeth whitening or dental bonding are more affordable than a smile makeover that includes multiple procedures. Insurance companies typically don't provide cosmetic dentistry coverage, but some procedures like dental crowns or fillings qualify as restorative treatments and may be covered by your insurance. Our staff is happy to help walk you through the process and answer any questions you have.
During your consultation at our Aiken, SC, office, we will provide an estimate to give you a better idea of your treatment cost. We believe that a beautiful smile should be available to all of our patients, regardless of their budget. We make cosmetic dentistry accessible to everyone in South Carolina by offering financing through CareCredit®. CareCredit is a third-party financing company that splits treatment costs into affordable monthly payments.
Join Our VIP Club & Save
Become a member and save five percent on most of your procedures!
-1598906479.jpeg)
-1598906503.jpeg)










