Dental Implants: Case 6
Description
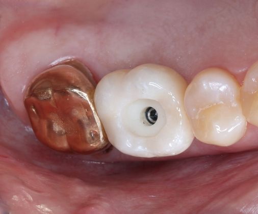
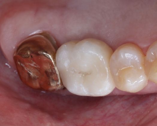
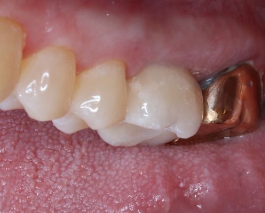
This unique case involved placing a dental implant in a missing tooth's place. A screw retained implant crown was placed to restore proper function. This restoration was completed by using CAD-CAM technology to mill a custom inlay to place in the implant screw hole. The benefits to this method are retrievability of the implant crown for repair, if necessary. The final result was nothing short of spectacular.







