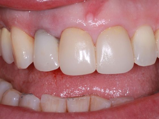
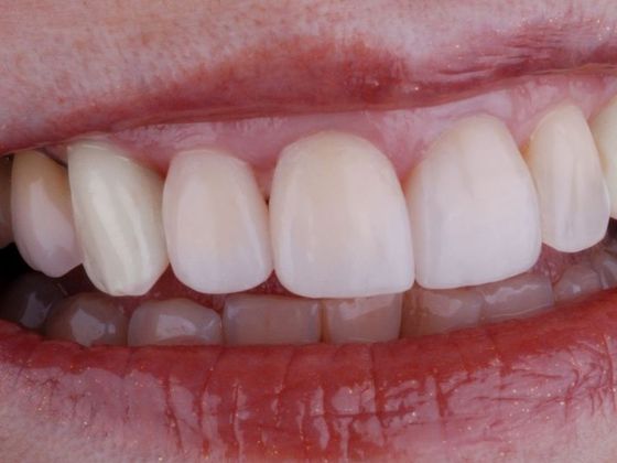
Dental Implants: Case 7
Description
This smile transformation involved replacing a failing and discolored front tooth with a dental implant and implant crown. Her adjacent teeth were also adjusted to create a more natural shape and whiter appearance. The patient was thrilled with the result, and we couldn't be happier.





