Full Mouth Makeovers: Case 2
Description
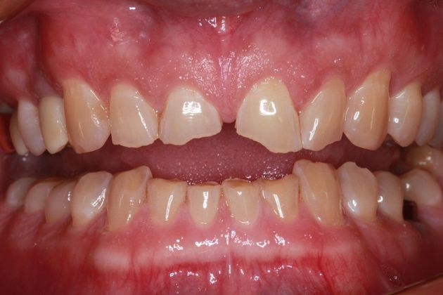
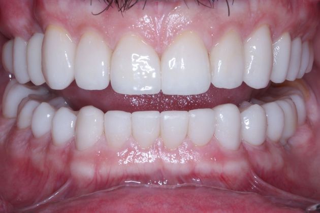
This patient came to us stating that he had already spent over $30,000 on his teeth, and they just kept breaking. He also had several implants which were loose. After a thorough bite analysis, we performed a full mouth makeover using dental crowns and dental implants. His bite was opened enough to regain his natural function and allow for natural, cosmetic looking teeth.




